- Класифікація форм амілоїдозу нирок
- Прогноз і профілактика амілоїдозу нирок
- Причини розвитку амілоїдозу нирок
- Симптоми амілоїдозу нирок
- Діагностика амілоїдозу нирок
- Лікування амілоїдозу нирок
Амілоїдоз нирок - це захворювання, при якому в тканинах нирок відбувається порушення білково-вуглеводного обміну і відкладається особливий нерозчинний білок - амілоїд. Це призводить до розвитку некротичного синдрому, порушення функції нирок і хронічної ниркової недостатності.
На частку амілоїдозу нирок припадає близько 3% всіх ниркових захворювань.

Класифікація форм амілоїдозу нирок

Залежно від механізму захворювання і причин амілоїдозу в сучасній урології виділяють наступні форми амілоїдозу нирок: придбану, ідіопатичну, сімейну, старечу, а також локальну пухлинну.
При первинному, або идиопатическом амілоїдозі нирок, причина хвороби і її механізм залишаються нез'ясованими. Вторинна або набута форма амілоїдозу нирок розвивається внаслідок різних імунологічних порушень (ревматичних хвороб, хронічних інфекцій, злоякісних пухлин). Вторинна форма амілоїдозу є найбільш поширеною.
Сімейний або спадковий амілоїдоз нирки передається у спадок. Він обумовлений генетичним дефектом утворення білків в організмі.
Старечий амілоїдоз нирок виникає в літньому віці. Природа розвитку локального амілоїдозу нирок поки не ясна.
Первинна, сімейна побутовій та іншій стареча форми амілоїдозу нирок є самостійними захворюваннями, а вторинний амілоїдоз вважається ускладненням основного захворювання.
Залежно від того, який тип фібрилярні білка міститься в амілоїді, розрізняють наступні типи амілоїдозу:
- АА-тип - вторинний амілоїдоз, при якому в амілоїді міститься сироватковий альфа-глобулін.
- AL-тип - первинний амілоїдоз, в амілоїді - легкі ланцюжки lg.
- ATTR-тип (сімейний або старечий амілоїдоз, в амілоїді - білок транстиретин).
Залежно від того, ураження якого органу переважає, розрізняються амілоїдоз нефропатіческій, гепатопатіческій, ентеропатіческій, кардіопатіческій, нейропатический, панкреатичний і змішаний. Незалежно від форми амілоїдозу і його типу в тканинах відбувається витіснення амілоїдних речовиною елементів тканин, зниження і подальша втрата функцій окремих органів.
Прогноз і профілактика амілоїдозу нирок
Прогноз амілоїдозу нирок багато в чому залежить від швидкості прогресування амілоїдозу нирок і течії основного захворювання. Якщо відкладення амілоїду носять локальний характер, а клінічні прояви хвороби виражаються слабо, то амілоїдоз не становить загрози для життя пацієнта.
Прогноз погіршується, якщо до амилоидозу нирок приєднуються інфекції, крововиливи, розвиток тромбозів. Позначається на розвитку амілоїдозу нирок і похилий вік. Якщо у пацієнта розвивається серцева і ниркова недостатність, то виживаність становить менше року. Успішному одужанню сприяє своєчасне звернення до лікаря, рання діагностика амілоїдозу, активне лікування і остаточне усунення основного захворювання.
Для профілактики амілоїдозу нирок необхідно своєчасне лікування будь-якої хронічної патології, яка може привести до розвитку захворювання. Як його профілактики необхідно відмовитися від вживання алкоголю і куріння, правильно харчуватися і вести здоровий спосіб життя. Крім того, необхідно уникати контакту з токсичними речовинами, а також необгрунтованого прийому лікарських препаратів.
Причини розвитку амілоїдозу нирок
Кожна форма амілоїдозу нирок має свої причини. Етіологія первинного амілоїдозу нирок найчастіше залишається невідомою, іноді хвороба може розвиватися при множинної мієломі. При ідіопатичному амілоїдозі крім нирок можуть дивуватися шкіра, мова, кишечник, печінку, легені і серце.
Вторинний амілоїдоз нирок пов'язаний з системними захворюваннями, пухлинами, хронічними інфекціями. При вторинної формі амілоїдозу уражаються нирки, печінку, лімфовузли, судини.
Старечий амілоїдоз нирок є ознакою старіння і зустрічається у 80% людей у віці старше 80-ти років. Сімейний амілоїдоз нирок розвивається при періодичної хвороби, найчастіше зустрічається у жителів країн середземноморського басейну. Причиною локальної форми амілоїдозу нирок можуть стати хвороба Альцгеймера, пухлини ендокринної системи, цукровий діабет. При локальному амілоїдозі вузлові утворення можуть з'являтися в гортані, легенів, на шкірі, мовою, в сечовому міхурі. Діалізний амілоїдоз в даний час є ускладненням хронічної ниркової недостатності. Розвивається таке ускладнення у хворого, тривалий час знаходиться на гемодіалізі.
На сьогоднішній день існують і інші гіпотези виникнення амілоїдозу нирок: імунологічна, мутационная.
Симптоми амілоїдозу нирок

Виділяють чотири стадії в розвитку амілоїдозу нирок, і на кожній з них амілоїдоз нирок має різні симптоми. Латентна стадія амілоїдозу нирок, незважаючи на наявність амілоїду в нирках, протікає практично безсимптомно. Для порушення функцій кількість амілоїду в нирках ще недостатньо. У цей період можуть виникати симптоми, характерні для первинного захворювання (ревматичних хвороб, інфекцій). УЗД не виявляє ніяких змін в нирках, в крові може бути трохи підвищений холестерин, а аналіз сечі періодично показує підвищений білок. Латентна стадія амілоїдозу нирок може тривати до 3-5-ти років і навіть більше. Якщо зробити пункцію, то на цій стадії хвороби вже можна виявити амілоїд в трубочках, клубочках і ниркових канальцях. Але хвороба ніяк себе не проявляє, а робити біопсію без причини ніхто не стане, тому амілоїдоз нирок плавно переходить в протеинурической стадію.
В даному стані основним проявом амілоїдозу нирок є постійна протеїнурія. Для неї характерні коливання білка в сечі від 0,1 до 3,0 г / л. Як правило, виявляється це випадково, при аналізах на первинній стадії захворювання. Крім того, на цій стадії амілоїдозу нирок спостерігається прояв микрогематурии, лейкоцитурії, підвищення ШОЕ. Амілоїд в нирках продовжує накопичуватися, набирають силу дегенеративні зміни, змінюється біохімічний склад крові, з'являється анемія. Процес може тривати 10-15 років. Нирки збільшуються в розмірах, стають щільними, набувають сіро-рожевий матовий відтінок.
При нефротической стадії амілоїдозу нирок на перший план виходить нефротичнийсиндром. Рівень білка в сечі різко підвищується, а в крові - знижується. Хворий худне, постійно скаржиться на підвищену спрагу, нудоту, слабкість. Артеріальний тиск постійно змінюється, може виникати переднепритомний стан. Амілоїд накопичується в кишечнику і призводить до діареї. Будь-яке захворювання, наприклад, грип, ангіна та ін., Призводять до розвитку набряків в кінцівках, на обличчі. Набряки можуть поширюватися і на інші органи: легені, черевну порожнину, серце. Відкладення амілоїду в печінці, нирках, селезінці викликає їх ущільнення.
На уремічний стадії амілоїдозу нирок виникає важка форма ниркової недостатності, виснаження організму. Нирка зморщується, ущільнюється і перестає виконувати свої функції, виділення сечі повністю припиняється. На цій стадії стійкі набряки при амілоїдозі нирок зберігаються. Крім того, амілоїдоз може ускладнюватися тромбозом ниркових вен з больовим синдромом. Все це може привести до летального результату.
При амілоїдозі можуть спостерігатися не тільки ниркові, але і позаниркових симптоми. Системними проявами амілоїдозу є слабкість, задишка, аритмія, запаморочення, анемія. Якщо до захворювання приєднується амілоїдоз кишечника, то у пацієнта розвивається стійка діарея.
Виявили симптоми даного захворювання?
Телефонуйте
Наші фахівці проконсультують Вас!
Діагностика амілоїдозу нирок
Діагностика амілоїдозу є непростим завданням. На ранніх стадіях причини амілоїдозу нирок не ясні, та й саме прояв захворювання може бути нечітким, а при вторинному амілоїдозі симптоми основного хронічного захворювання «змащують» всю клінічну картину.
Якщо у пацієнта спостерігаються такі симптоми, як серцева, ниркова недостатність, ураження нервової системи, білок в сечі, збільшення селезінки і печінки, то лікар може припустити розвиток амілоїдозу. У даній ситуації не обійтися без лабораторних досліджень крові та сечі. Загальний аналіз сечі дозволяє виявити наростаючу протеинурию, микрогематурию, лейкоцитурією. Загальний аналіз крові допоможе виявити анемію, лейкоцитоз, підвищення ШОЕ. Показовим може бути і проведення копрограми. Вона дозволяє виявити значний вміст м'язових волокон в випорожненнях, велика кількість крохмалю в калі.
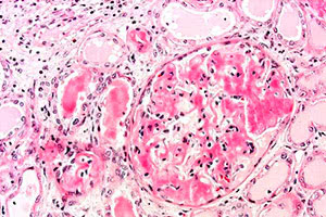
Вірогідним методом при діагностиці амілоїдозу нирок є біопсія нирки. При морфологічному дослідженні біоптату після фарбування його конго червоним в поляризованому світлі можна виявити зелене свічення, характерне для амілоїдозу нирок. Амілоїд може бути виявлений в клубочках, по ходу канальців, судин. У ряді випадків при амілоїдозі нирок проводять біопсію шкіри, ясен, печінки, слизової прямої кишки.
Для діагностики амілоїдозу нирок застосовують і ультразвукове дослідження, що дозволяє виявити збільшення нирок, печінки, селезінки. Досить часто для діагностики амілоїдозу нирок використовують ЕКГ і рентгенографію ШКТ.
Лікування амілоїдозу нирок
Під час лікування вторинного амілоїдозу нирок дуже важлива успішність терапії основного захворювання. Якщо первинна патологія буде вилікувана, то і симптоми амілоїдозу нирок можуть регресувати.
Патогенетичне лікування амілоїдозу нирки полягає в придушенні освіти амілоїду. Для цього необхідно протягом 6-12 місяців щодня вживати в їжу 100-150 г сирої печінки, білки і антиоксиданти, які значно гальмують розвиток амілоїдозу нирок. Для цієї мети також застосовують печінкові гідролізати. Поряд з цим при амілоїдозі нирок призначаються препарати, які гальмують синтез амілоїду. Симптоматичне лікування при амілоїдозі нирок включає в себе призначення гіпотензивних препаратів, діуретиків, переливання плазми.
У уремічний стадії хвороби може знадобитися хронічний нирковий діаліз або навіть трансплантація нирки. Для пацієнтів, у яких діагностовано амілоїдоз нирок, лікування вимагає внесення суттєвих змін до харчового раціону: обмеження солі і білка, підвищене вживання вуглеводів, а також їжі, багатої солями каменю і вітамінами.