- Загальні відомості
- Причини розсіяного енцефаломієліту
- Патогенез розсіяного енцефаломієліту
- Симптоми розсіяного енцефаломієліту
- Діагностика розсіяного енцефаломієліту
- Лікування розсіяного енцефаломієліту
- Прогноз розсіяного енцефаломієліту

Розсіяний енцефаломієліт (РЕМ) - гострий аутоімунний запальний процес, дифузно що вражає різні ділянки центральної і периферичної нервової системи і призводить до оборотної демиелинизации. Клінічно розсіяний енцефаломієліт характеризується швидко наростаючою вариабельной полиморфной неврологічною симптоматикою (сенсорними і моторними порушеннями, розладом функції ЧМН і тазових органів, порушенням свідомості та мови). Основу діагностики складає зіставлення клінічних даних і результатів МРТ головного мозку. Лікування розсіяного енцефаломієліту комплексне, здійснюється стаціонарно, в гострому періоді може зажадати проведення реанімації.
Загальні відомості
Розсіяний енцефаломієліт - гостра аутоиммунная запально-демієлінізуюча патологія з дисемінований ураженням як центральної, так і периферичної нервової системи. Відмінністю РЕМ від ряду інших демієлінізуючих захворювань є оборотний характер патологічних змін і можливість повного зникнення утворився неврологічного дефіциту під дією терапії. Вперше розсіяний енцефаломієліт був описаний ще 250 років тому англійським терапевтом, хто спостерігав ознаки енцефаломієліту у перенесли віспу пацієнтів. У сучасній неврології це досить поширене захворювання. Так, за даними 2011 тільки серед дорослого населення Москви було діагностовано 50 випадків РЕМ. Розсіяний енцефаломієліт може вражати людей різних вікових груп, але у дітей спостерігається частіше, ніж у дорослих. У дитячому віці він має зазвичай більш легкий перебіг.
розсіяний енцефаломієліт
Причини розсіяного енцефаломієліту
Первинний розсіяний енцефаломієліт, як правило, має вірусну етіологію. Спроби ідентифікувати специфічного збудника привели до того, що вітчизняними вченими з крові і ліквору пацієнтів було виділено вірус, близький до вірусу сказу і не має аналогів серед відомих вірусів. Він отримав назву вірус ОРЕМ. Однак подібний вірус визначається далеко не у всіх хворих.
Найчастіше розсіяний енцефаломієліт виникає після перенесеної ГРВІ : вітряної віспи , краснухи , грипу , кору , інфекційного мононуклеозу , Герпетичної або ентеровірусної інфекції . Вторинний розсіяний енцефаломієліт може носити токсичний, поствакцинальний або постінфекційний характер. Поствакцинальний РЕМ може розвиватися після вакцинації проти сказу , коклюшу , дифтерії , Кору. Відомі випадки енцефаломієліту після введення антигрипозної вакцини . У рідкісних випадках РЕМ виникає через деякий час після перенесеної бактеріальної інфекції ( мікоплазменної пневмонії , токсоплазмозу , хламідіозу , риккетсиоза ).
Крім зазначених етіофакторов, важливе значення у виникненні розсіяного енцефаломієліту має неблагополучний преморбідний фон - виснаження імунної системи внаслідок хронічних стресів, переохолодження , Перенесеної травми, хвороби або операції. Крім того, дослідники вважають наявність спадкової схильності, що виражається у подібності білків нервових тканин з білками деяких інфекційних агентів або в особливостях функціонування імунної системи.
Патогенез розсіяного енцефаломієліту
Основним патогенетичним субстратом РЕМ є аутоімунна реакція. В результаті подібності білкових антигенів, які входять до складу інфекційних агентів, з мієліном і іншими білками нервової тканини, імунна система починає продукувати антитіла до власних структурних елементів нервової системи. Цей процес має системний характер і призводить до руйнування мієліну як в спинному і головному мозку, так в спинномозкових корінцях і периферичних нервових волокнах. В результаті демиелинизации втрачається функція уражених нервових структур.
Морфологічно відзначається периваскулярная інфільтрація макрофагами, лімфо і моноцитами, дисеміноване запалення, периваскулярная демиелинизация, дегенерація олигодендроцитов. Уражається переважно біла речовина церебральних і спінальних структур, але можливо залучення і сірого мозкової речовини. Вогнища демієлінізації в ЦНС можуть бути візуалізовані за допомогою МРТ.
Слід зазначити, практично повне патогенетичне схожість РЕМ і розсіяного склерозу . Основна відмінність між ними полягає в тому, що перший є гострим і переважно оборотним процесом, а другий - хронічним прогресуючим захворюванням з періодами ремісій і загострень. Однак дебют розсіяного склерозу може повністю імітувати картину РЕМ. Розсіяний енцефаломієліт, в свою чергу, може призводити до хронізації демієлінізуючого процесу з результатом в розсіяний склероз.
Симптоми розсіяного енцефаломієліту
У типових випадках розсіяний енцефаломієліт маніфестує важкої енцефалопатією . У 50-75% хворих розвиваються порушення свідомості, які варіюють від оглушення до коми . відзначається психомоторне збудження , Запаморочення, головний біль, нудота, менінгеальний синдром . Нерідко розгорнутій клінічній картині передує період продрома у вигляді миалгий, лихоманки, головного болю, загальної розбитості. Характерно швидке наростання неврологічної симптоматики, вираженість якої протягом декількох днів досягає максимуму.
Вогнищева симптоматика розсіяного енцефаломієліту вельми варіабельна і залежить від топіки осередків ураження. може спостерігатися атаксія , Геміплегія, окорухові розлади і поразки інших черепно-мозкових нервів, обмеження зорових полів, афазія або дизартрія , Сенсорні порушення (гіпестезія, парестезія), тазові розлади. Поразка зорового нерва протікає по типу ретробульбарного невриту . За різними даними від 15% до 35% випадків РЕМ супроводжуються генералізованими або парціальними епіпріпадков. Приблизно у чверті випадків відзначається спінальна симптоматика (периферичні парези, синдром Броун-Секара). Може виникати корінцевий больовий синдром, поліневропатія, полірадікулопатія. При розвитку тяжких уражень стовбура мозку з бульбарними порушеннями пацієнтам необхідно реанімаційну допомогу.
Крім гострого монофазного течії розсіяний енцефаломієліт може мати ще одне і мультіфазную перебіг. Про зворотному розсіяному енцефаломієліт кажуть, коли через 3 і більше місяців після першого епізоду РЕМ відбувається відновлення його клініки без появи нової симптоматики і свіжих вогнищ демієлінізації за даними МРТ. Мультіфазную розсіяний енцефаломієліт характеризується виникненням нового епізоду хвороби не раніше, ніж через 3 міс. після дозволу попереднього і не раніше 1 міс. після закінчення терапії стероїдами, за умови виявлення на МРТ нових вогнищ на тлі дозволу старих запальних ділянок.
Діагностика розсіяного енцефаломієліту
Яскрава клінічна картина, гострий перебіг, полиморфность і полисистемность симптомів, вказівки на попередню інфекцію або імунізацію дають невролога можливість попередньо діагностувати РЕМ. Диференціювати розсіяний енцефаломієліт необхідно від енцефаліту , вірусного менінгіту , миелита , внутрішньомозкової пухлини , ГПМК, розсіяного склерозу, концентричного склерозу Бало , Ревматичних уражень ЦНС внаслідок системного васкуліту та ін.
Додатково проводиться консультація офтальмолога , офтальмоскопия , периметрия . люмбальна пункція може виявити підвищений тиск ліквору. Дослідження цереброспінальної рідини визначає підвищення рівня білка, лімфоцитарний плеоцитоз. ПЛР-дослідження ліквору, як правило, дає негативний результат. Приблизно в 20% випадків цереброспінальної рідина залишається без змін.
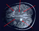
Найбільш достовірним методом, що дозволяє діагностувати розсіяний енцефаломієліт, є МРТ головного мозку . У режимах Т2 і FLAIR визначаються погано окреслені асиметричні гіперінтенсивні осередки в білому, а нерідко і в сірій речовині мозку. Вони можуть мати малий (менше 0,5 см), середній (0,5-1,5 см) і великий (більше 2 см) розмір. У деяких випадках реєструються великі зливні вогнища з перифокальним набряком, що викликають мас-ефект - усунення оточуючих структур. Можливе додаткове залучення зорових горбів. У великих запальних ділянках можуть відзначатися крововиливи. Накопичення контрастної речовини в осередках має різну інтенсивність. У 10-30% випадків вогнища виявляються в спинному мозку.
Всім пацієнтам, які перенесли гострий епізод РЕМ, через 6 міс. рекомендовано повторне проходження МРТ. Зникнення або зменшення ділянок демієлінізації за цей період є основним підтвердженням діагнозу «розсіяний енцефаломієліт» і дозволяє виключити розсіяний склероз. При цьому повне зникнення запальних ділянок реєструється в 37-75% випадків, а скорочення їх площі - в 25-53%.
Лікування розсіяного енцефаломієліту
Базова патогенетична терапія РЕМ проводиться протизапальними стероїднимипрепаратами. Залежно від тяжкості стану лікування починають високими або середніми віковими дозами преднізолону. У міру регресу симптоматики здійснюють поступове зниження дози. Лікування кортикостероїдами продовжують від 2-х до 5-ти тижнів. Негативним ефектом стероїдної терапії є імуносупресія. Для його нівелювання паралельно призначають внутрішньовенне введення імуноглобулінів. У важких випадках необхідний плазмаферез - апаратне видалення з крові імунних комплексів і антитіл.
Етіологічне лікування розсіяного енцефаломієліту проводять противірусними препаратами (аналогами інтерферону). У рідкісних випадках доведеною бактеріальної етіології РЕМ призначають антибіотики (ампіцилін + оксацилін, цефазолін, гентаміцин та ін.). При розвитку захворювання на тлі ревматизму проводять біціллінотерапію.
Симптоматична терапія є життєво необхідним елементом лікування. За свідченнями здійснюють реанімаційні заходи, ШВЛ , Нормалізацію гемодинаміки. Якщо розсіяний енцефаломієліт супроводжується вираженими загальномозковими симптомами, то необхідна профілактика набряку мозку (Введення магнезії, ацетазоламіду або фуросеміду). Виражена дисфагія є показанням до зондового харчування, затримка сечі - до катетеризації сечового міхура , Парез кишечника - до клізм, судоми - до призначення антиконвульсантів і т. П.
Терапія неврологічних порушень у гострій фазі розсіяного енцефаломієліту включає введення вітамінів гр. В, аскорбінової к-ти, антихолінестеразних засобів (галантамина, неостигміну), при м'язової спастиці - толперизона гідрохлориду. У період реконвалесценції застосовують розсмоктують препарати (гіалуронідазу, екстракт алое), ноотропи (пиритинол, пірацетам, гінкго білоба), нейропротектори (мельдоній, семакс, етілметілгідроксіпірідіна сукцинат). Для відновлення рухової функції вдаються до масажу і ЛФК , транскраніальної магнітної стимуляції .
Прогноз розсіяного енцефаломієліту
Гострий період РЕМ триває в середньому 1,5-2 тижні. Приблизно у 67% пацієнтів через кілька тижнів настає повне клінічне одужання. У деяких пацієнтів зберігається в різного ступеня виражена стійка симптоматика - парези, сенсорні порушення, розлади зору. В окремих випадках можливе важкий перебіг енцефаломієліту з розвитком бульбарних порушень, що призводять до летального результату. Прогноз ускладнюється, якщо відзначається розсіяний енцефаломієліт з поворотним і мультіфазную плином, хронізація процесу демієлінізації з розвитком розсіяного склерозу. Причому ознаки, що дозволяють передбачити майбутній перехід РЕМ в розсіяний склероз, поки не визначені.