- Знеболюючі знімають симптоми, але не лікують причину головного болю Головний біль - це симптом, тобто...
- Головний біль при шийному остеохондрозі і утиск судин шиї
- Головний біль при підвищенні внутрішньочерепного тиску
- лікування мігрені
- Судинна головний біль
- Рідкісні види головного болю
- Небезпечні різновиди головного болю
Знеболюючі знімають симптоми, але не лікують причину головного болю
Головний біль - це симптом, тобто сигнал про будь-якому пошкодженні або порушенні. Погодьтеся, дивно було б лікувати симптом, що не спантеличуючи його походженням. Впливаючи на причину головного болю, можна усунути біль повністю або всерйоз зменшити її інтенсивність. Завжди. По крайней мере, нам це вдається. Труднощі можливі, в основному, в разі пухлин головного мозку, наслідків нейрохірургічних операцій і т.п.
Найчастіше ми виявляємо цілком зрозумілі джерела головного болю: оболонки головного мозку, м'язи скальпа і шиї, шийні хребці, навколоносових пазух, очі і т.д.
Рідше ми виявляємо біль, пов'язану з більш серйозними проблемами:
Для того щоб знайти причину того чи іншого різновиду головного болю часто буває досить ретельного неврологічного огляду: рефлекси, ширина зіниць, дослідження стану та рухливості шийних хребців і інші симптоми можуть сказати дуже багато. Обов'язково привозите з собою в клініку результати всіх раніше виконаних досліджень - це допоможе уникнути зайвих витрат часу і грошей на обстеження.
Детальніше про дослідження нервової системи:
Головний біль напруги і обмеження потиличного нерва
Це найпоширеніший вид головного болю. З'являється при нервовому виснаженні і стресі . часто супроводжує вегетосудинної дистонії і панічним атакам .
Причина головного болю напруги - сильне хворобливе напруга (спазм) м'язів скальпа і шиї з подальшим закріпленням судин і нервів шиї і головного мозку. Це прояв захисних рефлексів в стресі: напруга аналогічних м'язів у тварин призводить до підняття вовни дибки. Головний біль напруги досить легко піддається лікуванню; попутно ми допоможемо Вашій нервовій системі вийти з виснаження. Правильне лікування головного болю, пов'язаного з защемлением судин головного мозку напруги зазвичай вже через 1-2 тижні приносить поліпшення.
Симптоми. Біль, що поширюється з шиї в потилицю, віскі, область очей, з одного або з двох сторін. Може супроводжуватися запамороченням, похитування, нудотою. Можна намацати больові точки в області потилиці і шиї. Біль тупий, монотонна, що давить, що стискає або розпирає. Локалізація болю - зазвичай відчувається навколо голови, в області чола і очей, скронь, під потилицею, іноді нагадує стягування голови стрічкою або тісною каскою. Провокується зазвичай психічним напруженням, втомою, активними рухами шиєю. Ми завжди проводимо лікування мігрені, виходячи з особливостей симптомів і наших діагностичних знахідок.
Напружені м'язи можуть здавити потиличний нерв і викликати потиличну біль.

Головний біль напруги і обмеження потиличного нерва: 1 - потиличний нерв 2 - місце обмеження потиличного нерва 3 - напружені, спазмовані м'язи шиї
Небезпеки. Тривале вживання знеболюючих засобів без лікування нервового розладу призводить до подальшого загострення больової чутливості і до наростання головного болю напруги.
Головний біль при шийному остеохондрозі і утиск судин шиї
Зазвичай це шийна. скронева або потилична головний біль. У більшості випадків досить успішно лікується при правильному розумінні причини Детальніше про лікування
Причини. Остеохондроз і наслідки травм шийних хребців, запалення шийних міжхребцевих суглобів на тлі запальних процесів в порожнині носа (Хронічний гайморит, наприклад) і хронічного тонзиліту .
Симптоми. Біль, середньої інтенсивності або сильна, що розповсюджується з шиї (частіше - «з-під потилиці») в голову, один або обидва скроні, один або обидва ока. Може супроводжуватися запамороченням, нудотою, похитування, потемніння в очах і шумом у вухах . Можна намацати больові точки в області шиї і потилиці. Часто супроводжується хворобливістю і обмеженням рухів в шийному відділі хребта. Провокується активними рухами в шиї, втомою, хронічний тонзиліт .

Обмеження судин при проблемах з шийними хребцями. До і після лікування.
Небезпеки. Роздратування нервових сплетінь, що оточують шийні хребці призводить до спазму судин стовбура головного мозку. Якщо це триває довго, з'являються симптоми судинної недостатності головного мозку - зниження слуху і шум у вухах, зниження зору, зниження пам'яті та уваги, сексуальні розлади, депресія, порушення сну і т.д. Тут краще поквапитися з лікуванням, поки порушення оборотні. Перевірити артерії голови і шиї
Головний біль при підвищенні внутрішньочерепного тиску
Головний мозок має внутрішні і зовнішні порожнини, заповнені цереброспинальной рідиною (ліквором). Причина головного болю при підвищенні внутрішньочерепного тиску - надлишкове скупчення рідини в цих порожнинах. Детальніше про це тут .
Особливо часто зустрічається у тих, хто коли-небудь переніс черепно-мозкову травму, в тому числі родову. Практично всім пацієнтам з підвищеним внутрішньочерепним тиском вдається допомогти. Якщо такий головний біль повністю не проходить повністю, то значно зменшується.

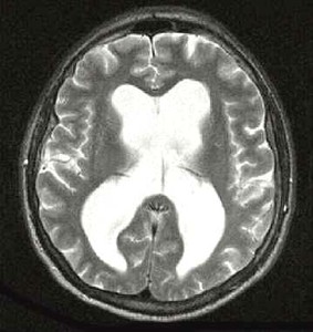
Речовина мозку на знімках позначено сірим кольором, а рідина - білим. Зліва - нормальна ширина рідинних порожнин (шлуночків) мозку
Праворуч - шлуночки переповнені рідиною, внутрішньочерепний тиск підвищений, є головний біль
Симптоми. Монотонна головний біль, що розпирає або давить, що розповсюджується на всю голову, відчуття «важкої» голови, біль в області очей, нудота. Можлива блювота, що не приносить полегшення. Нерідко виникає відразу після пробудження. Може посилюватися від яскравого світла і гучних звуків. Провокується зміною погоди, вживанням великої кількості солі і рідини, алкоголем, втомою, форсованої фізичним навантаженням, вечірнім переїданням.
Небезпеки.Тривало підвищений внутрішньочерепний тиск призводить до погіршення в роботі головного мозку. В першу чергу страждає вегетативна нервова система. Звідси судинна дистонія , Стомлюваність. Можливі й інші розлади - зниження слуху і шум у вухах , Зниження зору, зниження пам'яті та уваги, сексуальні розлади, депресія, порушення сну. Лікування і прогноз. Деяким пацієнтам доводиться періодично повторювати лікування. Детальніше тут
лікування мігрені
Це найвідоміший, але відносно рідко зустрічається вид головного болю. Мігрень відома, в першу чергу, пульсуючим болем під час нападу.
Лікування мігрені і прогноз. Практично завжди вдається або повністю припинити напади мігрені, або у багато разів знизити їх частоту і інтенсивність. Ми навчимо Вас знімати напад і проведемо лікування факторів, що провокують мігрень.
Симптоми. Епізодично виникає сильна пульсуючий біль в області скроні або очі, рідше - в інших областях голови. Може посилюватися від яскравого світла і гучних звуків. Часто супроводжується нудотою і блювотою, що приносить полегшення. Іноді передвісником або супутником нападу мігрені буває мігренозна зорова аура: мерехтливі плями, нечіткі обриси предметів, потемніння в очах і т.п. Провокується зазвичай перевтомою, дефіцитом сну, вживанням в їжу деяких продуктів (твердих сортів сиру, бобових, шоколаду, прянощів, червоних та ігристих вин, крабів, копченостей), судинорозширювальні ліками (но-шпа, еуфілін та ін.). Частота нападів - від декількох разів на місяць до одного або двох разів на рік.
Причини. Основний пусковий фактор - роздратування нервових вузлів і сплетінь в області голови та шиї. Часто ми знаходимо, що до цього призводять хвороби шийного відділу хребта і придаткових пазух носа. У відповідь на роздратування відбувається різке короткочасне (кілька секунд) звуження однієї з мозкових артерій, а потім різке її розширення, переповнення кров'ю, набряк мозкової тканини навколо стінки ураженої артерії. Звідси і характерна пульсуючий біль.
Небезпеки. Часто повторювані напади мігрені нерідко призводять до розвитку депресії. Вкрай рідко напад мігрені провокує порушення мозкового кровообігу.
Судинна головний біль
Цей вид головного болю зустрічається при спазмі судин головного мозку зниженні або підвищенні артеріального тиску. Лікування і прогноз. Прогноз прямо залежить від характеру проблем з судинами. Ми встановимо причини підвищення або зниження артеріального тиску. Для цього ми можемо виконати (при необхідності) дослідження серця і судин , а нализ крові (В т.ч. - на гормони), моніторинг артеріального тиску та інші необхідні процедури. Лікування буде побудовано на результатах досліджень.
Симптоми. Біль, середньої інтенсивності або сильна, в області чола, скронь, потилиці або всієї голови. Під час нападу головного болю часто виявляється знижений або підвищений артеріальний тиск. Часто провокується погодою, перевтомою, стресом.
Причини. Артеріальна гіпертонія, судинна дистонія , Порушення в роботі щитовидної залози , Наднирників, нирок, серця .
Небезпеки. Втрата свідомості (ризик падіння і травми), інсульт.
Рідкісні види головного болю
Деякі різновиди головного болю зустрічаються рідко. Крім того, головним болем супроводжується безліч хвороб - від грипу до апендициту або жовчнокам'яної хвороби. Ми обов'язково з'ясуємо причини Вашого страждання і зробимо все, щоб допомогти Вам.
Небезпечні різновиди головного болю
Головний біль може бути пов'язана з небезпечними для життя станами - менінгітом, пухлиною головного мозку, крововиливом в мозок, іншими небезпечними недугами. Вам слід негайно викликати швидку допомогу, якщо головний біль виник раптово після травми або супроводжується хоча б одним з таких симптомів:
- помутніння свідомості,
- сплутаність або змащені мови,
- втрата орієнтації,
- судоми,
- перекіс особи,
- параліч однієї або декількох кінцівок,
- порушення ковтання,
- нетримання сечі або калу,
- підвищення температури тіла,
- генетично з вуха,
- раптове погіршення зору або слуху,
- двоїння в очах,
- психічне збудження, марення, галюцинації.