- Загальні відомості
- причини
- патогенез
- Класифікація
- Симптоми ехінококозу головного мозку
- ускладнення
- діагностика
- Лікування ехінококозу головного мозку
- Прогноз і профілактика

Ехінококоз головного мозку - захворювання, обумовлене проникненням в мозок личинок ехінокока з формуванням поодиноких або множинних кіст-бульбашок. Залежно від розташування проявляється головними болями, епілептичними нападами, парезами, порушенням зору, розладом психіки. Підставою для постановки діагнозу церебрального ехінококозу є наявність кісти за даними томографії, наростаючий титр антіехінококкових антитіл і позитивна проба Касоні. Проводиться повне видалення кіст з капсулою в поєднанні з Протигельмітний і симптоматичною терапією. Після операції потрібно реабілітація і тривале спостереження.
Загальні відомості
Ехінококоз головного мозку - рідкісне паразитарне ураження церебральних тканин. За різними даними, становить від 0,4 до 9% всіх випадків ехінококозу . Ураження головного мозку в поєднанні з ехінококоз печінки і легких зустрічається у 0,2% хворих. Найбільша захворюваність відзначається в ендемічних зонах. Для Росії це Башкирія, Татарстан, Ставропольський і Краснодарський край, північні регіони. Більшість випадків церебрального ехінококозу представлено одиничними бульбашками, що містять личинки паразита. Множинний ехінококоз мозку зустрічаються вкрай рідко. Ехінококові вогнища локалізуються переважно в білій речовині тім'яних, лобових і потиличних часткою.
Ехінококоз головного мозку
причини
Церебральна форма ехінококозу виникає внаслідок проникнення личинок в мозкові тканини. Зараження людини відбувається аліментарним шляхом - при ковтанні яєць (онкосфер) ехінокока. Останні виділяються в навколишнє середовище з фекаліями заражених тварин: вовків, собак, лисиць. Тривало зберігаються в грунті, з її висушеними частинками (пилом) розносяться вітром. Яйця можуть потрапляти на шерсть домашньої худоби і собак, що лежать на траві, на одяг і руки людей. Найбільший ризик зараження мають особи, пов'язані з тваринництвом і обробленням туш, мисливці, господарі собак, що знаходяться у вільному вигулі. Хворий ехінококоз людина не виділяє паразитів і не є небезпечним для оточуючих.
Обсіменіння їжі відбувається в основному через брудні руки. В ендемічних областях поблизу боєнь і тваринницьких ферм можливе попадання пилу з онкосфера ехіноккока на стоять відкрито продукти. Потрапляючи в кишечник людини, личинка виходить з яйця і проникає в судинне русло. З потоком крові вона проходить через печінку і легені. Гематогенний занос личинки в головний мозок можливий, якщо вона не «зачепилася» в тканинах попередніх органів або при попаданні в організм відразу великої кількості яєць з поєднаним ураженням декількох органів.
патогенез
У мозкових тканинах навколо личинки ехінокока утворюється фіброзна капсула. Формується міхур, іноді оточений запальної зоною - результатом реакції церебральних клітин на впровадження чужорідного організму. У запальний процес можуть залучатися розташовані поблизу кісти церебральні оболонки. Осередок ехінококозу подразнює мозкові нейрони, що призводить до появи епілептичних нападів. Поступово ехінококовий міхур збільшується в розмірах, роблячи усе більший тиск на навколишні тканини.
виникає внутрішньочерепна гіпертензія - підвищення тиску всередині черепної коробки. Наростання тиску відбивається на всіх ділянках мозку і лежить в основі прогресуючих загальномозкових симптомів. Церебральні тканини і живлять їх судини стискаються. Розвиваються хронічна гіпоксія і ішемія, що призводять до порушення метаболізму та загибелі нейронів. В першу чергу страждають нервові клітини, розташовані навколо кісти. Випадання їх функцій проявляється осередковою неврологічною симптоматикою.
Класифікація
Ехінококоз головного мозку включає 2 основні форми. Відносно кожної з них у практичній неврології і нейрохірургії застосовуються різні підходи в лікуванні. Від форми захворювання залежить прогноз.
- Солітарна форма характеризується наявністю одиночної кісти. Освіта часто досягає значних розмірів - до 60 мм в діаметрі. У клінічній картині превалюють фокальні епіпріступи і осередкові симптоми. Можливо радикальне хірургічне видалення. Має відносно сприятливий прогноз.
- Рацімозная форма відрізняється формуванням гроздевидного конгломерату бульбашок і многоочаговостью поразки. Зустрічається рідко. У клініці переважають важкі загальномозкові прояви. Хірургічне лікування важко.
Симптоми ехінококозу головного мозку
Солітарна кіста відрізняється поступовим розвитком симптоматики. Захворювання починається з періодичної головного болю. Болять віскі, лоб або вся голова. Характерно почуття тиску на очі. Тривалість і інтенсивність цефалгии поступово наростають. Вона набуває завзятий характер, супроводжується нудотою і блювотою. У низки пацієнтів ехінококоз дебютує епілептичних пароксизмом. Потім виникають головні болі. Множинні церебральні ураження маніфестують різким лікворної-гіпертензійним синдромом з інтенсивної цефалгией і блювотою.
Вогнищеві прояви захворювання безпосередньо залежать від розташування ехінококового міхура. Типові епілептичні припадки, які тривають кілька років і не піддаються медикаментозному лікуванню. Пароксизми носять характер фокальній епілепсії у вигляді оніміння (сенсорний пароксизм) або судомних м'язових скорочень (руховий пароксизм). У напад втягується одна або обидві кінцівки половини тіла, протилежної локалізації кісти в головному мозку. Можлива вторинна генералізація: судоми з'являються в одній кінцівки, поступово поширюються на все тіло. В подальшому в кінцівках, схильних до фокальним руховим епіпріступам, розвивається м'язова слабкість, спастичний скутість, втрачається больова чутливість.
Серед інших вогнищевих проявів зустрічаються різні психічні розлади ( депресія , Агресивність, марення), порушення пам'яті, зниження інтелектуальних здібностей аж до деменції . Картину загальномозковою симптоматики доповнює атаксія , Пов'язана з ураженням вестибулярного аналізатора. Спостерігаються запаморочення з відчуттям обертання навколишніх предметів, нестійкість під час ходьби, розлад координації - при різких поворотах пацієнтів «заносить» в сторону. Виразність і швидкість прогресування симптомів варіює залежно від місця ураження і швидкості збільшення обсягу кісти.
ускладнення
Супровідний ехінококоз внутрішньочерепна гіпертензія викликає здавлення зорового тракту і призводить до атрофії зорових нервів з падінням гостроти зору. Сталий до антіконвульсантной терапії протягом епілепсії при ехінококозі головного мозку часто ускладнюється розвитком епілептичного статусу . Наступні безперервно один за одним епіпріступи небезпечні для життя, оскільки провокують збій в роботі дихальної та серцево-судинної системи. При відсутності своєчасної діагностики та адекватного лікування церебрального ехінококозу збільшується кіста викликає зміщення мозкових структур. Наростаюча гіпертензія зумовлює здавлення головного мозку з дисфункцією життєво важливих нервових центрів і наступним летальним результатом. Рідкісним ускладненням є розрив ехінококового міхура з обсіменіння навколишніх тканин.
діагностика
Ехінококоз головного мозку має клінічну картину схожу з внутрішньомозковими пухлинами , Що нерідко призводить до діагностичних помилок. Тому важливе значення має послідовне здійснення всіх етапів комплексної діагностики:
- Деталізація анамнезу. Допомагає виявити факт перебування в ендемічних по ехінококоз районі, роботу в тваринницькому господарстві і т. П. Встановлює особливості початку захворювання.
- огляд невролога . Виявляє ознаки підвищеного внутрішньочерепного тиску, осередкову симптоматику - наявність гемипареза, психічних відхилень, когнітивних порушень.
- огляд офтальмолога . Передбачає проведення офтальмоскопії, за допомогою якої виявляються набряклі диски зорових нервів, а при тривало існуючої клініці - ознаки атрофії.
- рентгенографія черепа . Пальцеві вдавлення на черепних кістках, розходження швів між ними, ознаки розширення диплоические вен свідчать про тривало існуючому підвищенні интракраниального тиску. При цьому захворювання може мати невелику тривалість.
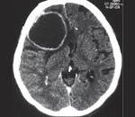
- Томографічні дослідження. Дозволяють виявити внутримозговое освіту з тонкими стінками, визначити його локалізацію і обсяг. КТ головного мозку більш інформативно щодо кальциноза капсули, МРТ головного мозку краще візуалізує стінки кісти.
- Лабораторні аналізи. В ОАК відсутні запальні зміни, спостерігається еозинофілія . Проводиться Імуноферментні дослідження на наявність антитіл до ехінокок. Має значення титр антитіл: чим він вищий, тим з більшою ймовірністю підтверджує ехінококоз.
- алергопроби з ехінококковим антигеном. Проводиться внутрішкірна проба Касоні в її сучасній інтерпретації (метод Шульца). Позитивний результат відзначається у 85% хворих на церебральний ехінококоз.
- Обстеження інших органів. Необхідно для виключення поєднаного ураження. проводиться УЗД печінки і рентгенографія легенів . При виявленні зміні здійснюється поглиблене дослідження з призначенням МРТ печінки , КТ легенів , Консультацій гепатолога, пульмонолога і ін.
Отримані результати оцінюють у сукупності, зіставляючи їх з клінічними симптомами і перебігом захворювання. Диференціювати ехінококоз головного мозку необхідно від інших об'ємних утворень: арахноідальних кіст , церебрального цистицеркоза , Епідермоїдний кіст, інтракраніальних пухлин і абсцесів.
Лікування ехінококозу головного мозку
Найбільш виправданим методом лікування є хірургічний. Сьогодні він ефективно поєднується з етіотропної, симптоматичної та реабілітаційної терапією. Комплексне лікування здійснюється цілим рядом фахівців і включає:
- Хірургічне видалення кісти. Загальноприйнятим стандартом виступає радикальне мікрохірургічне висічення без пошкодження стінок міхура. Операція вимагає від нейрохірурга ретельного планування доступу. При локалізації ураження у функціонально значимих областях мозку проводиться інтраопераційна кортікографія. Важке завдання представляє лікування множинних вогнищ, оскільки необхідно видалення всіх кіст.
- Консервативну етіотропну терапію, яка проводиться протигельмінтними фармпрепаратами з групи бензімідазолу (наприклад, альбендазолом). Раніше антигельминтное лікування призначалося в неоперабельних випадках і носило паліативний характер. Останнім часом доведено позитивний вплив післяопераційної антигельминтной терапії на ефективність хірургічного лікування.
- Симптоматичне лікування здійснюється в рамках передопераційної і відновної терапії. Проводиться антиконвульсантами, препаратами, що знижують внутрішньочерепний тиск, знеболюючими засобами і т. П.
- Післяопераційну реабілітацію, що складається з фармакотерапії (препарати для поліпшення церебрального метаболізму і кровотоку), лікувальної фізкультури , психотерапії і занять з логопедом (При порушеннях мови).
Прогноз і профілактика
Прогноз залежить від форми захворювання, кількості, розмірів і локалізації ехінококкових бульбашок. Найбільш сприятливий прогноз має своєчасно прооперований солітарний церебральний ехінококоз. Частота післяопераційних рецидивів становить 15-30%. Рецидив виникає, якщо в ході операції відбулося розкриття міхура. Але переважно він обумовлений здатністю паразита поширювати за межі капсули мікроскопічні відсівання, які не діагностуються сучасними способами нейровізуалізації.
З метою своєчасної діагностики рецидиву прооперовані пацієнти повинні проходити регулярні обстеження, які включають аналіз на антитіла, УЗД печінки, церебральну МРТ, рентгенографію ОГК . Рекомендований ВООЗ термін спостереження пацієнтів - 10 років. До заходів, здатним попередити ехінококоз, відноситься дотримання правил особистої гігієни, носіння спецодягу при роботі з тваринами та обробленні туш, підвищення санітарного стану ферм, виявлення і ліквідація джерела зараження.