- Загальні відомості
- Причини генералізованого пародонтиту
- Класифікація
- Симптоми генералізованого пародонтиту
- Діагностика генералізованого пародонтиту
- Лікування генералізованого пародонтиту
- Прогноз і профілактика

Генералізований пародонтит - поширений деструктивно-запальний процес, що вражає весь комплекс тканин пародонта. Генералізований пародонтит протікає з кровотечею і набряком ясен, больовими відчуттями, неприємним запахом з рота, наявністю зубних відкладень, освітою зубоясенних кишень, рухливістю і дислокацією зубів. Діагностика генералізованого пародонтиту проводиться лікарем-пародонтологом за допомогою огляду порожнини рота, визначення індексу гігієни і пародонтального індексу, ортопантомографії, біопсії тканин ясен. Лікування генералізованого пародонтиту включає місцеве консервативне і хірургічне лікування; загальну протизапальну та імуномодулюючу терапію.
Загальні відомості
Генералізований пародонтит - дифузне пошкодження пародонтального комплексу, що охоплює більшість зубів або всі зуби. Генералізований пародонтит є однією з найбільш складних і до кінця ще невирішених проблем клінічної стоматології . Пародонтит, особливо його генералізована форма, в 5-6 разів частіше, ніж карієс , Призводить до часткової і повної вторинної адентії , А тривале персистування інфекції в пародонтальних кишенях є фактором ризику розвитку ревматоїдного артриту , інфекційного ендокардиту , атеросклерозу , інфаркту міокарда , інсульту та ін.
Терміном «пародонт» позначається комплекс навколозубних тканин, що мають загальну іннервацію і кровопостачання і тісно пов'язаних між собою в морфологічному і функціональному відношенні. Пародонтальний комплекс утворений яснами, періодонтит, кістковою тканиною альвеолярних відростків, цементом коренів зубів і виконує найважливіші функції - опорно-яка утримує, захисну, рефлекторну. До патології пародонту ставляться гінгівіт , пародонтит , пародонтоз , Пухлиноподібні процеси (Пародонтоми). При виникненні поширених дистрофически-запальних змін в усьому комплексі тканин пародонта, говорять про генерализованном пародонтите.
Причини генералізованого пародонтиту
Передумовами виникнення генералізованого пародонтиту виступають чинники екзогенного і ендогенного походження при домінуючому впливі останніх. Крім цього, всі етіологічні фактори поділяються на локальні і загальні. До числа перших відноситься наявність зубного нальоту і зубного каменю , неправильного прикусу , бруксизма , Аномалій положення зубів, тяжів слизової оболонки, аномалій прикріплення вуздечок мови і губ і т. Д. До другої групи належать загальні захворювання - цукровий діабет , дифузний токсичний зоб , ожиріння , остеопороз , гіповітаміноз , Патологія системи крові, ревматизм , холецистит , гепатит , гастрит , ентероколіт , Гіпоіммуноглобулінемія і ін., Що відбиваються на стані пародонту.
За допомогою мікробіологічних досліджень доведено, що провідна етіологічна роль у розвитку генералізованого пародонтиту належить пародонтопатогенних мікроорганізмам - Prevotella intermedia, A. Actinomycetemcomitans, Porphyromonas gingivalis, Bacteroides forsythus, Peptostreptococcus і ін. Головним «мікробним депо» служить зубна бляшка - поддесневой наліт, що скупчується в ясенний борозні, пародонтальних кишенях, на корені зуба і т. д. Продукти життєдіяльності патогенної мікрофлори активізують секрецію цитокінів, простагландинів, гідролітичних ензимів, що викликають деструкцію ію тканин пародонта. Факторами ризику генералізованого пародонтиту, що знижують місцеву і загальну неспецифічну захист, служать тютюнопаління, променеві ушкодження , Недотримання гігієни порожнини рота.
Розвитку генералізованого пародонтиту передує запальне ураження ясенного краю, що приводить до порушення зубодесневого з'єднання, руйнування зв'язкового апарату і резорбції альвеолярної кістки. Ці зміни супроводжуються патологічною рухливістю зубів, перевантаженням окремих груп зубів, виникненням травматичної оклюзії. Без адекватного і своєчасного лікування генералізований пародонтит призводить до випадання або видалення зубів, порушення функціонування зубощелепної системи і організму в цілому.
Класифікація
Залежно від тяжкості розвинулися порушень (глибини патологічних кишень і вираженості деструкції кісткової тканини) виділяють три ступеня генералізованого пародонтиту.
- I (легка) ступінь - глибина зубодесневих кишень до 3,5 мм; резорбція кістки не перевищує 1/3 довжини кореня зуба;
- II (середня) ступінь - глибина зубодесневих кишень до 5 мм; резорбція кісткової тканини досягає 1/2 довжини кореня зуба;
- III (важка) ступінь - глибина зубодесневих кишень більше 5 мм; резорбція кісткової тканини перевищує половину довжини кореня зуба.
З урахуванням клінічного перебігу розрізняють генералізований пародонтит з частими загостреннями (1-2 рази на рік), рідкими загостреннями (1 раз в 2-3 року) і хронічного перебігу без загострень.
Симптоми генералізованого пародонтиту
У початковій стадії генералізованого пародонтиту відзначається кровоточивість ясен, їх набряклість і рихлість; свербіж, пульсація і печіння в області ясен, больові відчуття при жуванні їжі, неприємний запах з порожнини рота. Зубодесневиє кишені неглибокі, розташовуються переважно в міжзубних просторах. Рухливість і зміщення зубів відсутня; загальний стан пацієнта не порушено.
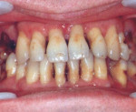
Для клініки розвинувся генералізований пародонтит, крім перерахованих симптомів, характерні розхитування і зміщення зубів, підвищена сприйнятливість ( гіперестезія ) Зубів до температурних подразників, труднощі з пережовування їжі. У важких випадках генералізований пародонтит призводить до порушення загального самопочуття - слабкості і нездужання, підвищення температури тіла, гострої хворобливості в області ясен. Регіонарні лімфовузли збільшуються і стають болючими. При стоматологічному огляді виявляються ознаки дифузного гипертрофического гінгівіту , Рясні скупчення м'якого зубного нальоту, над- і підясенні зубні відкладення, виражена травматична оклюзія, множинні пародонтальні кишені різної форми і глибини, нерідко з серозно-гнійним або гнійним вмістом. У запущених стадіях генералізованого пародонтиту може відзначатися випадання зубів, освіта пародонтальних абсцесів і свищів.
при хронічному генералізованому пародонтиті в стадії ремісії ясна має блідо-рожевий колір; зубні відкладення і генетично з зубоясенних кишень відсутні; коріння зубів можуть бути оголені. За даними рентгенографії ознак резорбції кісткової тканини не спостерігається.
Діагностика генералізованого пародонтиту
В діагностиці генералізованого пародонтиту велике значення мають клінічні дані і давність захворювання. При наявності супутньої патології пародонтолог може направити пацієнта на консультацію до інших спеціалістів - терапевта , ендокринолога , Гастроентеролога, гематолога, імунолога, ревматолога .
При оцінці стоматологічного статусу пацієнта на генералізований пародонтит звертається увага на кількість і характер зубних відкладень, стан ясен, глибину передодня рота, прикус, стан вуздечок мови і губ, рухливість зубів, наявність і глибину пародонтальних кишень. У процесі первинного обстеження проводиться проба Шиллера-Писарєва, визначення індексу гігієни , пародонтальних індексів , складається пародонтограмма .
При генералізованому пародонтиті показано дослідження зіскрібка з ясенної кишені методом ПЛР, хемилюминесценции слини, бакпосева виділень зубоясенних кишень. З додаткових обстежень може бути рекомендовано дослідження біохімічного аналізу крові на вміст глюкози, СРБ ; визначення сироваткових IgA, IgM та IgG.
З метою визначення стадії генералізованого пародонтиту проводиться ортопантомографія, прицільна внутрішньоротова рентгенографія, біопсії тканин ясен. При генералізованому пародонтиті потрібне проведення диференціальної діагностики з гінгівітом, пародонтоз, периоститом і остеомієліт щелепи .
Лікування генералізованого пародонтиту
З огляду на багатофакторність патології, лікування хронічного генералізованого пародонтиту повинно бути комплексним і диференційованим, здійснюваним за участю пародонтологов, стоматологів-терапевтів , Хірургів, ортопедів . Важливу роль відіграє навчання пацієнта правилам гігієни, професійна допомога в підборі засобів догляду за порожниною рота.
При легкому ступені генералізованого пародонтиту показано видалення зубного нальоту і зняття зубних відкладень , медикаментозна обробка зубодесневих кишень антисептиками (розчинами фурациліну, хлоргексидину, мірамістину), нанесення пародонтологічних аплікацій на уражену область.
До лікування генералізованого пародонтиту середньої тяжкості додається виборче прішліфовиваніе оклюзійних поверхонь зубів, кюретаж пародонтальних кишень для видалення підясневих відкладень, епітелію і грануляцій, накладення лікувальних пов'язок . Одночасно вирішуються питання про необхідність видалення коренів або окремих зубів, проведення лікувального шинирования і ортопедичного лікування . Місцеві протизапальні процедури доповнюються загальною терапією.
В процесі лікування генералізованого пародонтиту важкого ступеня, крім перерахованих вище заходів, можуть знадобитися хірургічні заходи: видалення зубів III-IV ступеня рухливості, проведення гінгівотомія або гінгівектоміі , клаптикової операції , розтин пародонтальних абсцесів і т. д. За свідченнями виконується пластика передодня порожнини рота , остеогінгівопластіка , пластика вуздечок мови і губ. При тяжкому перебігу генералізованого пародонтиту обов'язковим є проведення системної протизапальної (НПЗЗ, антибіотики), імуномодулюючої терапії, вітамінотерапії.
У комплексній терапії генералізованого пародонтиту знаходить своє застосування фізіотерапія ( лікарський електрофорез , дарсонвалізація , ультрафонофорез , лазеротерапія , магнитофорез ), гірудотерапія , озонотерапія , Апітерапія, фітотерапія.
Прогноз і профілактика
Раннє та адекватне початок лікування генералізованого пародонтиту дозволяє досягти стійкої клінічної ремісії і продовжити її термін. У відновленні тканин пародонта і збереженні функції зубощелепної системи важливу роль відіграє подальше дотримання рекомендацій по виконанню профілактичних заходів. При запущених стадіях генералізованого пародонтиту несприятливий прогноз може бути пов'язаний не тільки з втратою зубів, але і розвитком важких системних ускладнень з боку середечно-судинної системи.
Профілактика генералізованого пародонтиту вимагає правильного гігієнічного догляду за порожниною рота, періодичного проведення професійної гігієни , Своєчасного лікування гінгівіту, видалення зубних відкладень і терапії супутніх захворювань.