Фото - Луганский центр стоматологической имплантации

Антибіотик при запаленні зубів і ясен

  1. Коли потрібна антибіотична терапія
  2. Препарати в стоматології
  3. Відновлення після антибіотиків

Прийом антибіотиків при запаленні ясен і зубів - часта практика. Лікарі відзначають, що нерідко лікування захворювань ротової порожнини без застосування антибіотиків в стоматології неможливо при запаленні. Розглянемо недуги, які є показанням до прийому антибактеріальних ліків, які підходять для цього випадку антибіотики і послідовність дій при запаленні зуба під коронкою.

Коли потрібна антибіотична терапія

До дантистам звертаються пацієнти з різними скаргами. Погано, коли людина довго ігнорував недуга і звернувся до лікаря після досягнення хворобою піку - крім хірургічного втручання знадобиться терапія антибактеріальними засобами. В яких ситуаціях застосовують антибіотики?

Розглянемо випадки призначення даної групи медикаментів при запаленні ясен і причини їх кровоточивості.

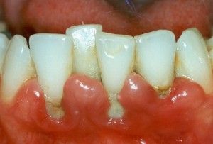
  1. Прийом антибіотиків при запаленні ясен і зубів - часта практика Пародонтит - запалення околозубних тканин, до яких відносяться періодонтальна зв'язка, ясна, альвеолярні відростки щелеп і цемент зуба, звернений до кісткової лунки. Недуга супроводжується кровотечею.

При захворюванні середнього та тяжкого ступеня лікар призначає антибіотики, щоб уникнути подальшого руйнування пародонту.

Відсутність лікування загрожує втратою жувальних органів, оскільки комплекс навколозубних тканин зазнає незворотні зміни.

  1. гінгівіт

Гінгівіт - запалення ясен. Стоматологи призначають пацієнтам антибіотики при важких некротичних модифікаціях м'яких тканин, а також якщо є сумніви в безслідне проходженні хвороби.

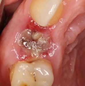
  1. видалення зубів

Після операції лікарі призначають пацієнтам комплекс препаратів, в т Після операції лікарі призначають пацієнтам комплекс препаратів, в т.ч. антибіотики, що застосовуються при запаленні, наслідки кровоточивості ясен, зубного болю.

Призначення терапії дозволяє пацієнтові уникнути множинних ускладнень і прискорити процес загоєння. До операцій в ротовій порожнині відносяться видалення ретінірованних жувальних органів, маніпуляції з кореневими каналами і т.д.

Після лікування антибіотиками зубного болю і запалення ясен проводиться відновна терапія, адже засіб діє на всі органи, а не тільки на ротову порожнину.

Препарати в стоматології

Препарати діляться на дві категорії: таблетки та ін'єкції (вводяться в ясна за допомогою шприца). Іншим підставу класифікації є діюча речовина.

Часом антибактеріальні лікарські засоби (незалежно від форми випуску) при запаленні тканин зубів і ясен - невід'ємна частина лікування. Антибіотики користуються популярністю при терапії стоматологічних недуг.

Розглянемо найважливіші групи ліків, що використовуються при зубному болю; неприємні відчуття під коронками; опухлих, що кровоточать і запалених яснах.

  1. допоміжні препарати

Спектр антибіотиків для зубів широкий, але вони застосовуються при складних хворобах ротової порожнини. Їх комбінують з іншими ліками розглянутого класу. Найчастіше стоматолог призначає одне антибактеріальний засіб.

До допоміжних препаратів відносять Метронідазол 0,5. Його продають у таблетках по 500 мг. Приймається разом з основними ліками Метронідазол по 3 рази на добу протягом 10 днів.

  1. Група Глікозамідов

Препарати використовуються при лікуванні гінгівіту і запалення пародонту Препарати використовуються при лікуванні гінгівіту і запалення пародонту. Що відноситься сюди?

  • Лінкоміцин 0,25 в капсулах. Засіб рекомендують застосовувати тричі на добу по дві таблетки протягом 10 днів.
  • Лінкоміцин 30% розчин. Вводиться внутрішньом'язово 10 днів поспіль.

Ліки має істотний недолік - вузький спектр дії. Передбачити, які бактерії оселилися в ротовій порожнині людини, складно, тому при лікуванні лінкоміцином деякі штами можуть залишитися живими і спровокувати рецидив. У зв'язку з цим його бажано приймати з додатковим засобом з цієї групи. Краще віддати перевагу капсул ін'єкційну форму.

  • Кліндоміцін 150 гр або у вигляді розчину. Таблетки приймають тричі на добу по дві штуки. Ін'єкції роблять кожні 12 годин. Курс лікування в обох випадках 10 днів.
  1. препарати фторхинолона

Засоби цієї групи застосовують, коли бактерії нечутливі до інших ліків, і при цукровому діабеті. Найбільш використовувані препарати-антибіотики від запалення ясен:

Особливою популярністю користується другий з списку ліки завдяки доступності та ефективності. Діюча речовина - ципрофлоксацин. Курс лікування розрахований на тиждень, дозування підбирається індивідуально (як правило, дві таблетки на день).

Ципролет застосовують при вирішенні проблем не тільки ротової порожнини, але і ЛОР-захворювань, хвороб дихальної системи, терапії при інфекціях в інших органах. Гінекологія, суглоби, кістки, запалення м'яких тканин - це не повний список того, що може вилікувати даний засіб.

Існують різні варіації кошти з дозування діючої речовини. Детальніше дізнатися про ліки можна у фармацевтів і лікарів-стоматологів: вони розкажуть, як приймати Ципролет при зубному болю.

  1. Препарати виключно для ін'єкцій

Є група ліків, які застосовуються в разі необхідності введення антибіотика прямо в ясна. Спосіб відходить в минуле: доведено, що лікування запалення локально не дає ніякого ефекту, поліпшення стану - уявне.

Лікар, що пропонує пацієнту цей метод, потрапляє під підозру в Лікар, що пропонує пацієнту цей метод, потрапляє під підозру в   шахрайстві або неуцтві, тому як виключно локальне лікування призводить до тяжких наслідків: некроз тканин, інтоксикація організму, патологічна рухливість зуба і т шахрайстві або неуцтві, тому як виключно локальне лікування призводить до тяжких наслідків: некроз тканин, інтоксикація організму, патологічна рухливість зуба і т.д.

Отже, ми описали антибіотики (ін'єкції і таблетки), що допомагають при захворюваннях і інфекціях ясен і зубів, і розглянули доцільність застосування різних груп антибактеріальних препаратів при запаленні ясен.

Відновлення після антибіотиків

Після вживання ліків пацієнт зобов'язаний вжити заходів до поновлення організму. Проконсультуйтеся з лікарем, який дасть рекомендації і призначить відповідні препарати.

При лікуванні порушується робота шлунково-кишкового тракту - його мікрофлора страждає при антибиотической терапії. Спостерігаються розлади травлення, застої в кишечнику. Для відновлення нормальної роботи шлунково-кишкового тракту вживайте кефір, ряжанку і подібні до них продукти.

У жінок при лікуванні є ймовірність розвитку молочниці внаслідок дисбалансу мікрофлори зовнішніх статевих органів. Тому лікарі призначають представницям прекрасної статі препарати проти кандидозу, які приймаються після терапії.

В яких ситуаціях застосовують антибіотики?
Що відноситься сюди?

  • Зуботехническая лаборатория

    Детали
  • Лечение, отбеливание и удаление зубов

    Детали
  • Исправление прикуса. Детская стоматология

    Детали